
Όλα όσα πρέπει να γνωρίζεις για την ΧΛΛ (Χρόνια Λεμφοκυτταρική Λευχαιμία)
Λευχαιμία και λέμφωμα:
Τα κακοήθη αιματολογικά νοσήματα στο σύνολό τους συνιστούν την τέταρτη, σε συχνότητα, ομάδα κακοήθων νόσων. Σε αντίθεση με το μεγαλύτερο μέρος των συμπαγών όγκων, πολλές μορφές αιματολογικών νεοπλασιών είναι ιδιαίτερα συχνές στην παιδική ηλικία και μεταξύ των νεαρών ενηλίκων.
Για ορισμένα αιματολογικά νοσήματα, όπως τα μη-Hodgkin λεμφώματα, φαίνεται ότι τα τελευταία έτη, αυξάνει η επίπτωσή τους στον γενικό πληθυσμό1.
Πέραν όμως της συχνότητας εμφάνισης των νοσημάτων αυτών, μεγάλη σημασία έχει η τεραστία πρόοδος που έχει επέλθει τα τελευταία χρόνια στην κατανόηση της παθογένειας, της διάγνωσης και της θεραπείας.
ΧΛΛ - Χρόνια Λεμφοκυτταρική Λευχαιμία
Είναι η πιο συχνή λευχαιμία στον δυτικό κόσμο και είναι τυπική στους ηλικιωμένους. Το 80% των ασθενών είναι >60 ετών, με μέσο όρο ηλικίας προσβολής τα 69,6 έτη2. Το οικογενειακό ιστορικό ΧΛΛ ή άλλης λεμφοϋπερπλαστικής νόσου αποτελεί ισχυρό παράγοντα κινδύνου και ισχύει στο 10% των περιπτώσεων3. Είναι ένα νόσημα που προσβάλλει πιο συχνά τους άνδρες.
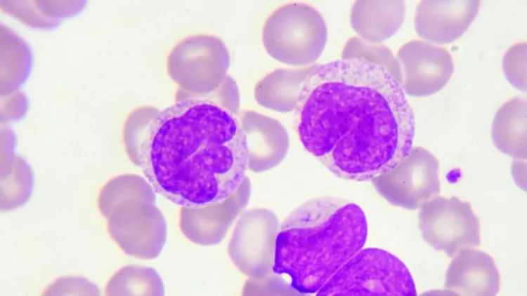
Η συχνότητα υπολογίζεται σε 2-3 περιπτώσεις/100,000 στον γενικό πληθυσμό, αλλά αυξάνει σε 50 περιπτώσεις/100,000 σε άτομα >65 ετών1. Η ΧΛΛ αντιπροσωπεύει το 30% όλων των περιπτώσεων λευχαιμίας1. Πρόκειται για μία λεμφοϋπερπλαστική διαταραχή, η οποία προσβάλλει τα CD5-θετικά Β λεμφοκύτταρα.
Στην κατάταξη του Παγκόσμιου Οργανισμού Υυγείας υπάγεται στα νεοπλάσματα από ώριμα Β κύτταρα4. Η νόσος έχει ποικίλη πορεία. Μερικοί ασθενείς μπορεί να διατηρηθούν σταθεροί για πολλά έτη, ενώ άλλοι μπορεί να εμφανίσουν γρήγορη ανάπτυξη και γι’ αυτό έχουν χαμηλή επιβίωση βραχυπρόθεσμα.
Επιδημιολογία
Η Χρόνια Λεμφοκυτταρική Λευχαιμία είναι πιο συχνή στους άνδρες και έχει επίπτωση ίση με 2 έως 3 περιστατικά σε 100.000 κατοίκους ανά έτος στις δυτικές χώρες. Αντίθετα, είναι σπάνια στην Ιαπωνία και στην ανατολή. Η μέση ηλικία διάγνωσης είναι τα 70 έτη, ενώ η επίπτωση αυξάνεται σε 50 περιπτώσεις/100,000 σε άτομα >65 ετών.
Ο επιπολασμός της αυξάνεται καθώς το μέσο προσδόκιμο ζωής γενικά αυξάνεται.
Παράγοντες κινδύνου για την ΧΛΛ (Χρόνια Λεμφοκυτταρική Λευχαιμία)
Μέχρι σήμερα έχουν προσδιοριστεί παράγοντες κινδύνου, οι οποίοι μπορούν να τροποποιηθούν ανάλογα με το άτομο, παρόλο που διαφορετικές μελέτες έχουν δείξει ότι γενετικοί ή οικογενείς παράγοντες μπορεί να προδιαθέσουν στην ανάπτυξη της ΧΛΛ.
Στους συγγενείς πρώτου βαθμού των προσβεβλημένων ασθενών, η επίπτωση είναι μεγαλύτερη σε σχέση με τον γενικό πληθυσμό, πράγμα το οποίο υποδηλώνει ότι η παρουσία γενετικής προδιάθεσης αποτελεί μη τροποποιήσιμο παράγοντα κινδύνου. Άλλοι παράγοντες είναι η ηλικία, το φύλο και η εθνικότητα.
Συμπτωματολογία
Το μεγαλύτερο μέρος των ασθενών διαγιγνώσκεται βάσει αιματολογικών εξετάσεων ρουτίνας απουσία συμπτωμάτων.
- Στα ενδιάμεσα στάδια της νόσου το πιο συχνό σύμπτωμα είναι η αδενοπάθεια που προσβάλλει τους λεμφαδένες του τραχήλου, της μασχάλης ή της βουβωνικής χώρας. Οι λεμφαδένες εμφανίζονται ελαστικοί, όχι σκληροί και ανώδυνοι. Συχνά εμφανίζονται σε συνδυασμό με αύξηση του μεγέθους του σπλήνα (σπληνομεγαλία) και του ήπατος (ηπατομεγαλία).
- Κατά την πορεία της νόσου, μπορεί να εμφανιστούν επιπλοκές, οι οποίες είναι κοινές με άλλες λευχαιμίες όπως αναιμία ή/και θρομβοπενία, οι οποίες οφείλονται σε διήθηση του μυελού των οστών από Β-ΧΛΛ κύτταρα.
- Τα συνοδά συμπτώματα είναι: πυρετός >38°C χωρίς εμφανές αίτιο, απώλεια βάρους > 10% του σωματικού βάρους, έντονη εφίδρωση, κνησμός, μυϊκοί πόνοι (ανευρίσκονται στη μειοψηφία των περιστατικών κατά τη χρονική στιγμή της διάγνωσης).
- Η νόσος μπορεί να οδηγήσει σε λοιμώδεις επιπλοκές που οφείλονται σε λειτουργική ανεπάρκεια του ανοσοποιητικού συστήματος εξαιτίας της νόσου και των θεραπειών. Σε κάποιο στάδιο της νόσου μπορεί να εμφανιστούν επίσης αυτοάνοσα νοσήματα που οφείλονται στην απορρύθμιση του ανοσοποιητικού συστήματος, όπως είναι η αυτοάνοση αιμολυτική αναιμία.
- Η ανοσολογική ανεπάρκεια, επίσης, προδιαθέτει τον ασθενή στην εμφάνιση λοιμώξεων.
Διάγνωση για την ΧΛΛ (Χρόνια Λεμφοκυτταρική Λευχαιμία)
Η διάγνωση της ΧΛΛ στο μεγαλύτερο μέρος των περιστατικών τίθεται από αιματολογικές εξετάσεις ρουτίνας που εμφανίζουν παρουσία >5 x 109/L λεμφοκυττάρων στο περιφερικό αίμα. Μόνο η μειοψηφία των περιπτώσεων εμφανίζει κατά τη στιγμή της διάγνωσης πλήρως ανεπτυγμένη κλινική εικόνα με λεμφαδενοπάθεια ή/και σπληνομεγαλία.
Η βιοψία των λεμφαδένων μπορεί να είναι χρήσιμη για να επιβεβαιωθούν τα αμφίβολα περιστατικά, στα οποία δεν μπορεί να τεθεί διάγνωση μόνο με την εξέταση αίματος. Επίσης, αποτελεί εξέταση ρουτίνας, όταν η νόσος γίνεται πιο επιθετική.
Προσέγγιση ανάλογα με τη φυσική κατάσταση
Η ηλικία από μόνη της είναι ένας ανεξάρτητος προγνωστικός παράγοντας στους ασθενείς με ΧΛΛ, αλλά η έκταση του σχετιζόμενου με την ηλικία κινδύνου ποικίλει στα άτομα της ίδιας ηλικιακή ομάδας. Από τη στιγμή που η λειτουργικότητα του οργανισμού και η παρουσία και η έκταση των συννοσηροτήτων στους ηλικιωμένους είναι από τους βασικότερους παράγοντες της αντοχής στη θεραπεία, είναι απαραίτητη μία αντικειμενική εκτίμηση της βιολογικής ηλικίας του ασθενούς πριν από την έναρξη της θεραπείας.
Δεν υπάρχει ενιαίο τυποποιημένο εργαλείο για την εκτίμηση της βιολογικής ηλικίας των ασθενών με ΧΛΛ: στην κλινική πράξη φαίνεται ότι είναι κατάλληλο να λαμβάνονται υπόψη διάφοροι παράγοντες του ασθενούς, όπως είναι οι συννοσηρότητες, η κατάσταση λειτουργικότητας και η θρέψη και η πιθανή παρουσία γηριατρικού συνδρόμου.
Σταδιοποίηση & πρόγνωση για τη Χρόνια Λεμφοκυτταρική Λευχαιμία
Σταδιοποίηση
Οι πρώιμοι προγνωστικοί δείκτες προέρχονται από σχήματα σταδιοποίησης που επέτρεπαν τη διάκριση των ασθενών σε κατηγορίες με βάση απλά κλινικο-αιματολογικά στοιχεία: αντικειμενική εξέταση και γενική εξέταση αίματος.
Πρόγνωση
Πέρα από την κλινική σταδιοποίηση, υπάρχουν ορισμένα στοιχεία που καθοδηγούν τον ιατρό στον προσδιορισμό της πρόγνωσης και της εξέλιξης της νόσου:
- Επίπεδα έκφρασης της β2 μικροσφαιρίνης, η οποία υποδεικνύει την εξέλιξη σε κακοήθεια8
- Επίπεδα του ενζύμου LDH (γαλακτικής αφυδρογονάσης)9
- Κυτταρογενετικές αλλαγές: υψηλή έκφραση του αντιγόνου CD38 στα λευχαιμικά κύτταρα, διαγραφή (δηλαδή η έλλειψη ενός τμήματος) των χρωμοσωμάτων 11p και 17q, απουσία μεταλλάξεων στα γονίδια που κωδικοποιούν ένα τμήμα των ανοσοσφαιρινών των λευχαιμικών κυττάρων7
- Τρόπος διήθησης του μυελού των οστών: η διάχυτου τύπου διήθηση στη βιοψία των οστών σχετίζεται με δυσμενέστερη πρόγνωση, και είναι ενδεικτική προχωρημένης και εξελισσόμενης νόσου. Η διήθηση διάμεσου ή οζώδους τύπου σχετίζεται με τα αρχικά στάδια της νόσου7,10
- Ο τύπος διήθησης του μυελού των οστών, αν και εκτιμούνταν συστηματικά πολύ στο παρελθόν, δεν φαίνεται να αποτελεί σήμερα σημαντικό προγνωστικό παράγοντα και είναι ανεξάρτητος από τους νέους βιολογικούς δείκτες.
Θεραπεία για την ΧΛΛ (Χρόνια Λεμφοκυτταρική Λευχαιμία)
Η Χρόνια Λεμφοκυτταρική Λευχαιμία είναι μία νόσος με βραδεία πορεία και ως εκ τούτου, αφού γίνει η σταδιοποίηση, δεν είναι απαραίτητο ότι όλοι οι ασθενείς θα πρέπει να υποβληθούν αμέσως σε θεραπεία. Ωστόσο, σε πολλές περιπτώσεις η θεραπεία ξεκινά μόνο όταν η νόσος γίνει συμπτωματική, διαφορετικά υιοθετείται η τεχνική του "watch and wait" (δηλαδή αναμονή και εν τω μεταξύ πραγματοποίηση περιοδικών ελέγχων της πορείας της νόσου)6.
Η διαθεσιμότητα διαφορετικών θεραπευτικών επιλογών με ειδικά προφίλ αποτελεσματικότητας και ασφάλειας επιβάλλει τον προσεκτικό σχεδιασμό της θεραπευτικής επιλογής με βάση εύλογα προσιτούς στόχους προκειμένου να επιτευχθεί το καλύτερο κλινικό αποτέλεσμα ελαχιστοποιώντας τους κινδύνους ιατρογενούς νοσηρότητας ή/και θνησιμότητας.
Η επιλογή της θεραπείας θα έπρεπε να λαμβάνει υπόψη εκτός από την χρονολογική ηλικία, τα πιθανά συνοδά νοσήματα, καθώς και τη βιολογική ηλικία του ασθενούς. Μέσω της εκτίμησης της συννοσηρότητας, της λειτουργικής και θρεπτικής κατάστασης και της πιθανής παρουσίας γηριατρικού συνδρόμου προσδιορίζονται τρεις κατηγορίες ασθενών: οι κατάλληλοι ασθενείς (fit – ασθενείς με καλή φυσική κατάσταση), οι μη κατάλληλοι ασθενείς (unfit – ασθενείς με κακή φυσική κατάσταση) και οι ευπαθείς (frail) ασθενείς. Κάθε ομάδα αντιμετωπίζεται με διαφορετικό τρόπο11.
Η Χρόνια Λεμφοκυτταρική Λευχαιμία (ΧΛΛ) αντιμετωπίζεται με χημειοθεραπεία. Στα ευρύτερα χρησιμοποιούμενα φάρμακα περιλαμβάνονται τα ανάλογα των πουρινών, αλλά και αλκυλιωτικοί παράγοντες ή κορτικοστεροειδή ή άλλα φάρμακα. Ωστόσο οι εντατικές χημειοθεραπείες δεν χορηγούνται σε όλους τους ασθενείς, καθώς η πλειοψηφία των ασθενών είναι προχωρημένης ηλικίας και δεν θα μπορούσαν να αντέξουν την τοξικότητα αυτών των θεραπειών. Επίσης πολλοί ασθενείς μπορούν να επιβιώσουν επί μακρόν και με λιγότερο επιθετικές θεραπείες11.
Ορισμένες κατηγορίες ασθενών, όπως είναι για παράδειγμα οι νεότεροι ασθενείς και οι ασθενείς που δεν ανταποκρίνονται στις θεραπείες, μπορούν να υποβληθούν σε μεταμόσχευση μυελού. Τα τελευταία χρόνια εισήλθαν στην αγορά διάφορα μονοκλωνικά αντισώματα, τα οποία χρησιμοποιούνται είτε ως μονοθεραπεία είτε σε συνδυασμό με χημειοθεραπεία.
Η ανάπτυξη νέων μονοκλωνικών αντισωμάτων κατευθύνθηκε προς νέα αντιγόνα ή διαφορετικές περιοχές του ιδίου αντιγόνου ή στη διαμόρφωση αντισωμάτων με τροποποιημένη δομή για τη βελτίωση της εξαρτώμενης από το αντίσωμα κυτταρικής κυτταροτοξικότας (antibody- dependent cell-mediated cytotoxicity, ADCC) και της ικανότητας να προκαλούν θάνατο των καρκινικών κυττάρων.
Η ΧΛΛ ακόμα και σήμερα θεωρείται ανίατη νόσος με τη συμβατική θεραπεία και οι ασθενείς εμφανίζουν με την πάροδο του χρόνου επαναλαμβανόμενες υποτροπές της νόσου. Οι υποτροπές είναι συχνές και συχνά δύσκολες στη θεραπεία, γιατί είναι λιγότερο ευαίσθητες στα χημειοθεραπευτικά σχήματα και απαιτούν τροποποίηση της θεραπείας. Ωστόσο, η νόσος εξελίσσεται βραδέως και οι ασθενείς με πρώιμου σταδίου νόσο σε σταθερή κατάσταση δεν υποβάλλονται σε θεραπεία.
Οι πιο πρόσφατες Ειδήσεις
Διαβάστε πρώτοι τις Ειδήσεις για υγεία, διατροφή και γυμναστική στο shape.gr